HOME ≫ 診療科目 ≫
診療科目
一般歯科
小児歯科
予防歯科
家庭では磨けてない部位のプロによるクリーニング、ブラッシング指導を数カ月に一回受けることで、むし歯や歯周病になりにくいことが実証されています。
インプラント治療
インプラント費用
1歯 ¥280,000+税~
- 患者さまの歯の状態によって金額は変動します。
- インプラント治療にはCTを用いて
検査を行ってから治療を行います。
こんな人にインプラントをオススメしています
- 入れ歯での噛みごたえ、装着感が苦手な方
- ブリッジで両隣の健康な歯を削りたくない方
- 入れ歯による取り外しが面倒な方
- 以前のような噛みごたえや天然の歯に近いような感覚を望む方
Case.1 歯が1本抜けた場合
Case.2 奥歯が数本抜けた場
Case.3 歯が全部抜けた場合
インプラント メリット
- 見た目が美しく審美性が高い
- 元の歯のような高い咀嚼力を回復できる
- 健康な周りの歯を削らなくていい
- 痛い・外れるなどの入れ歯の違和感がない
インプラント デメリット
- 治療期間の長期化
- 手術が必要です。
- 費用が高額(保険適用外)
- 術後のメンテナンスが必要
インプラント治療の注意点
- 重度の肝疾患のある人(肝硬変・肝臓病)
- 糖尿病をお持ちのかた
- 透析を受けている重度の腎疾患の方
- 心臓病をお持ちのかた(心筋梗塞・狭心症・ペースメーカーなど)
- 骨粗鬆症で骨密度が低下している方
- 高血圧のかた
歯科用CTスキャン
当院は歯科用CTスキャンを導入しています。レントゲン撮影は2次元の平面写真ですが、CT撮影では立体的な3次元の撮影が可能になります。また当院が導入した歯科用CTは低被ばく(低線量)・高画質でより安全に・正確な診断ができます。
CT撮影によるメリット
CT撮影では3D画像による撮影が可能です。従来見えなかった部分が見え、インプラント・矯正治療・歯周病など早期発見につながります。また、より正確な診療ができることで、病状・状態の確実な診断ができ、患者様に負担の少ない治療が可能です。歯根・神経の位置を正確に把握し、歯を削る際により安全な治療ができます。
インプラント治療の流れ
より詳細な情報は直接お電話にてご相談ください!
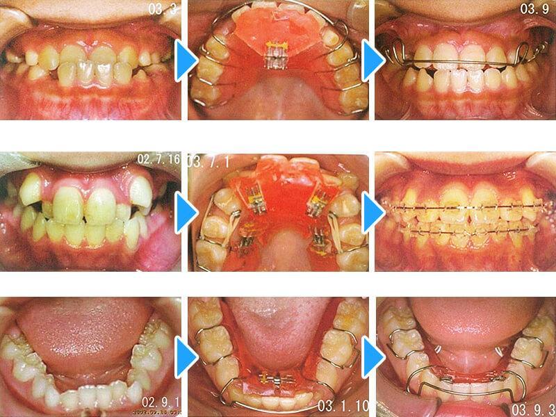
矯正治療
人の見た目の第一印象はとても大切です。
口を開けた時に見える歯並びで印象も大きく変わります。
また美容以外にも、歯並びや噛みあわせの悪化による健康への悪影響も発生します。
治療の流れ
1.初診相談
まずは歯医者へご相談ください。問診(カウンセリング)後に
適切な治療時期、装置・治療方法、治療期間や概算費用についてご説明します。
お子様は必ず保護者同伴でお越しください。
2.精密検査
歯や顔の写真、レントゲン撮影、歯型や咬み合わせなど診断に必要な資料を採取します。
3.治療計画や方針の説明
精密検査の結果をもとに、患者様にあった治療計画、治療方法、治療期間や詳しい費用について説明します。
4.治療スタート
治療内容にご納得いただけましたら、矯正治療が始まります。
虫歯や歯周病を予防するために歯磨きの指導や、口腔内の清掃をします。
5.動的治療開始(装置装着)
個人差はありますが2~5週間に1回のペースで通院していただきます。
治療の進捗に遅れを出さないように、スケジュールを確認し正しく通院しましょう。
6.保定
装置が取れた後、何もしなければ歯は少しずつ動いてしまいます。
矯正した歯を支える骨や歯周組織が安定するまでは、保定装置を装着します。通院は2~6ヶ月に1回程度です。
矯正の期間(矯正装置を外すまで)は約1年半~2年半程度が一般的ですが、歯並びによっては3年以上かかる場合もあります。
※個人差があります。
アクアシステム
アクアシステムとは
アクアシステムとは、歯型を採ってつくった透明なマウスピース型の装置「アクアフレーム」を、歯の動きに合わせて一定期間ごとに取り替え、歯を徐々に正しい位置に移動させていく治療法です。透明なので目立たず、従来の金属製の矯正装置に抵抗があった方にも、無理なく受けていただくことができます。
アクアシステムのメリット
リスク
歯の移動に伴う痛みが生じる時があります。また、毎日使用しないと十分な効果が得られません。
子どもの矯正治療
顔の成長は6才までに約80%が完了すると言われています。
装置を付けて矯正治療もできますが、生活習慣や食生活を見直すだけで、大きく改善することがあります。 歯並び悪化の原因の多くは顎の成長不足です。 永久歯が生えてくる場所がたりなくなってしまうのです。 咬むことが発育刺激になります。正しく咬むことで顔の骨が成長します。
ブラケット矯正の種類と特徴
金属ブラケット
一般的によく見かける金属の装置にワイヤーを通す方法です。 矯正治療の中では比較的安価ですが、目立ちます。
セラミックブラケット
白や透明など目立ちにくい素材です。 金属よりも少し費用は高くなり、やや強度は落ちます。
リンガル(裏側)ブラケット
装置を付ける位置が歯の裏側になるので目立ちません。 慣れるまでは、違和感があります。
| アクアシステム |
¥115,000+税~(別途調整料) ※個数によって治療費が変わります。 |
|---|---|
|
子供の矯正治療 |
¥115,000+税~(別途管理費) ※装置の個数、種類によって治療費がかかります。 |
| ワイヤー矯正 |
¥365,000+税~(別途管理費) |
詳細は当院にお問い合わせ下さい。
審美歯科
「ニッコリ」笑顔に自信はありますか??
話すとき、笑うとき、食事をするとき、歯の美しさで人に与える印象はずいぶん変わります。
「より美しく自然な歯に」これが審美補綴(ほてつ)です。歯が白いだけで3歳若返るといわれています。機能を修復するだけでなく、本来の自然な美しい歯のように修復する審美治療が注目されています。
みやべ歯科でもさまざまな治療を取り入れております。
ジルコニアクラウン
高い強度のジルコニアを使用し、金属アレルギーの心配もありません。ポーセレン築盛と同等の天然歯に近い複雑な色調と透明感が再現できます。
ジルコニアインレー
ジルコニア(歯科用人工ダイヤモンド)をそのままインレー(詰め物)に応用する事ができます。強度が高く、経年劣化がないためキレイな状態を保ち続けることができます。
| ジルコニアクラウン |
奥歯¥70,000+税~ 前歯¥80,000+税~ |
|---|---|
| ジルコニアインレー(単冠) | ¥33,000+税~ |
|
ジルコニアインレー アンレー(ブリッジ支台) |
¥50,000+税~ |
| ホームホワイトニング(上下顎) | ¥30,000+税 |
入れ歯
~見た目でバレない、分からない、美しく自然な入れ歯~
マグネットデンチャー(磁石式入れ歯)とは??
バネの代わりに磁石の力で固定する入れ歯です。
歯根に「磁性金属(キーパ)」を取り付け、入れ歯に「小型磁石」を埋め込み、この2つの吸引力で入れ歯をぴったり吸着させます。
バネを使わないので歯に優しく、取扱いもとってもラクです。
マグネットデンチャー(磁石式入れ歯)にすると??
- 装着・取り外し・お手入れが簡単の三拍子!!
- ピッタリ固定で、しっかり噛める!!
- 見た目が入れ歯を感じさせません
- 自分の歯で噛むので全身の健康増進!
ノンクラスプデンチャー
金具のない入れ歯のスタンダードタイプ。入れ歯をしている様に見えないので、もう口元を隠す必要はありません。
コバルトクロム床を使用したものは、高い安定感があり、食べ物の熱をより感じられ、美味しく食べられます。
チタン床を使用したものは軽く高い安定感があり、金属アレルギーもほとんどありません。
シリコンを貼りつけたものは、入れ歯が痛くて困っている方に最適です。
金属床(金の入れ歯)とは?
主要部分を金属で作った入れ歯です。レジン(プラスチック)に比べて丈夫な素材である金属を使うため、快適で丈夫な入れ歯を作れます。
金属ならではの薄い仕上がりは違和感を少なくし、熱伝導の良さで一層おいしく食事を楽しめます。
| ノンクラスプデンチャー | ¥100,000+税~ |
|---|---|
| 金属床 | ¥250,000+税~ |
訪問診療・往診
通院が困難な方のために、みやべ歯科は訪問します。
訪問歯科診療は高額になると思っていませんか?
ご安心してください。
医療保険の適用になりますので心配はいりませんよ。
訪問歯科診療の流れ
1.お問い合わせ
希望の日時などをお伺いし、ご訪問の日程を決定します。
2.検診
歯科医師・スタッフがご訪問し、お口の状態を確認します。
3.説明
検診の結果をご説明し、治療費・今後の治療計画についてご説明をします。
4.治療期間
治療方針に基づいて、患者様に合う治療を開始します。
5.定期訪問ケア
患者様ごとに個別のケアメニューを作成し、口腔ケアを行います。













